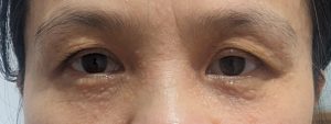
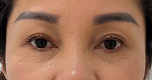
Kaifu – các tạo hình khác




    Thông tin liên hệ

    Hotline: 0862000062
    Email: kaifuhealth@gmail.com

  • Trang chủ
  • Phone
  • Mail
  • Zalo